Pathologies rétiniennes
Décollement du vitré
La chambre postérieure de l’œil est constituée d’un gel visqueux appelé vitré. Ce dernier évolue tout au long de la vie pour finir par se détacher de la rétine ; on parle alors de décollement du vitré à ne pas confondre avec le décollement de rétine.
Le décollement du vitré est en élément physiologique, se produisant tôt ou tard chez tout le monde et s’associe dans certains cas avec des symptômes comme l apparions de corps flottants (ou mouches) liés à des condensations intra-vitréennes ou des éclairs lumineux traduisant la traction sur la rétine. Il n’y a pas de traitement à proposer à ce stade.
Parfois, le décollement du vitré entraine des tractions sur la rétine aboutissant à la création de déchirures rétiniennes. Nous passons alors dans le domaine de la pathologie pouvant se terminer par un décollement de rétine sans prise en charge rapide par traitement LASER autour de la déchirure.
Toutes mouches ou éclairs d’apparition récente doit donc faire rechercher rapidement la présence de déchirure rétinienne par une consultation et la réalisation d’un examen du fond d’œil avec dilatation pupillaire.
Décollement de rétine
Le décollement de rétine dit rhegmatogène est le plus fréquent. Il correspond à un soulèvement de la rétine suite à l’apparition d’une déchirure rétinienne intervenant le plus souvent à la suite d’un décollement du vitré compliqué. Il se manifeste par un voile complet limitant le champ visuel et progressant petit à petit jusqu’à la perte de la vision. Sa prise en charge est alors urgente et uniquement chirurgicale !
L’intervention peut se dérouler sous anesthésie locale ou générale, en hospitalisation ambulatoire ou avec une nuit en clinique. La chirurgie peut être « ab-externo », en externe, sans entrée dans l’œil ou « ab-interno », endoculaire, avec une vitrectomie. Du gaz est souvent injecté dans l’œil nécessitant une position à respecter en post-opératoire et éviter de se déplacer en avion ou en altitude.
La réapplication de la rétine est obtenue dans 80 à 85% des cas avec une récupération visuelle progressive, notamment à la résorption du gaz. 10 à 15 % des patients nécessiteront 2 ou plusieurs interventions pour réussir à réappliquer la rétine.
La membrane épirétinienne
Elle fait partie des pathologies de l’œil liées au vieillissement, au même titre que la cataracte.
Elle se manifeste dans la partie postérieure de l’œil par l’apparition d’une petite pellicule, film cellophane, qui se dépose à la surface de la région centrale de la rétine appelée Macula. Dans la majorité des cas, cette membrane est totalement asymptomatique et ne nécessite qu’une simple surveillance par mesure de l’acuité visuelle et OCT (optical coherence tomography) qui permet de bien visualiser ses répercussions anatomiques sur la rétine.
Dans certains cas, la membrane peut se rétracter et entrainer un syndrome maculaire avec une baisse d’acuité visuelle de près et une ondulation des lignes droites (métamorphopsies). L’intervention chirurgicale est alors indiquée associant une vitrectomie et le pelage de cette membrane.
L’intervention se déroule le plus souvent sous anesthésie locale et en hospitalisation ambulatoire. Elle dure environ 30 minutes. Dans plus de 80% des cas, les métamorphopsies sont diminuées et l’acuité visuelle augmente de manière significative dans plus de la moitié des cas.
Le trou maculaire
Il correspond à l’ouverture de pleine épaisseur de la rétine au niveau de la macula. Une baisse d’acuité visuelle importante avec tache noire centrale (scotome) entraine une gêne significative chez le patient, conduisant rapidement à l’indication chirurgicale.
Il existe des stades plus précoces que le trou maculaire de pleine épaisseur pouvant faire l’objet d’une simple surveillance par OCT (optical coherence tomography) notamment, avec évolution spontanée favorable possible.
L’intervention se déroule le plus souvent sous anesthésie locale et en hospitalisation ambulatoire. Elle associe une vitrectomie, le pelage de la couche la plus superficielle de la rétine (membrane limitante interne), et la mise en place de gaz dans la chambre postérieure de l’œil.
C’est le positionnement du patient en post opératoire, regard vers le sol, qui permettra à la bulle de gaz mise en place pendant l’intervention, de fermer le trou maculaire. Le taux de fermeture post opératoire est de plus de 90%.
Œdème maculaire
Il s’agit d’une augmentation de l’épaisseur de la rétine au niveau de macula par accumulation de liquide. L’OCT (optical coherence tomography) est l’examen roi pour le mettre en évidence. Il se manifeste par une baisse d’acuité visuelle, notamment de près et une ondulation des lignes droites. Plusieurs pathologies peuvent en être à l’origine, notamment la rétinopathie diabétique et l’occlusion de la veine centrale de la rétine.
Sa prise en charge repose le plus souvent sur des injections intra-vitréennes répétées et peut faire parfois appel à la chirurgie par vitrectomie.
Occlusion veineuse rétiniennes
C’est une pathologie rétinienne où il existe un ralentissement voire un arrêt de la circulation sanguine au niveau de la veine centrale de la rétine ou d’une de ses branches.
Il en résulte 2 conséquences possibles : un œdème maculaire dont la gestion fait appel aux injections intravitréennes et une ischémie rétinienne dont le traitement repose sur le laser.
La prise en charge globale des occlusions veineuses rétiniennes associe :
- un examen OCT pour rechercher l’œdème maculaire ;
- une angiographie à la fluorescéine pour mettre en évidence les zones d ischémies rétiniennes ;
- un bilan cardiovasculaire complet à la recherche de facteurs de risque cardiovasculaires associés (HTA, cholestérol, diabète, …)
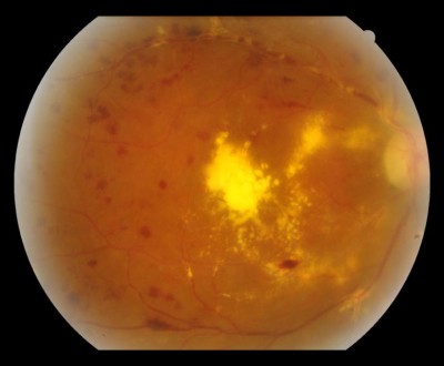
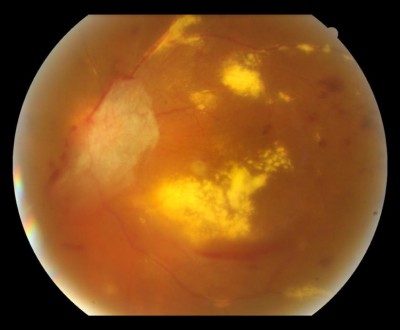
Rétinopathie diabétique
C’est une complication micro-angiopathique du diabète. Elle survient en moyenne après quinze ans d’évolution et bien plus tôt an cas de déséquilibre et mauvais suivis du diabète.
2 modes évolutifs peuvent s’associer :
- Une atteinte centrale ou maculaire avec apparition d’un œdème maculaire dont la prise en charge fait appel aux injections intravitréennes ;
- Une atteinte périphérique par ischémie pouvant conduire sans traitement laser, à l’apparition de neovaisseaux générateurs de complications gravissimes (hémorragie, décollement de rétine) pouvant aller jusqu’à la perte totale de la vision.
La prise en charge ophtalmologique du patient diabétique doit s’inscrire dans la gestion globale de la maladie en partenariat avec le généraliste et/ou l’endocrinologue pour équilibrer au mieux les glycémies et autres facteurs de risque cardiovasculaires associés. Un contrôle annuel du FO est ainsi obligatoire pour tout patient diabétique chez son ophtalmologiste.


